Suvremena stomatološka ordinacija razlikuje se po načinu na koji kombinira stručnost, tehnologiju i empatiju. Ključ je u tome da pacijent dobije preciznu dijagnostiku, jasno planirano liječenje i predvidive rezultate, uz minimalno invazivne postupke i ugodno iskustvo od prvog dolaska do završetka terapije.
Digitalna dijagnostika i planiranje
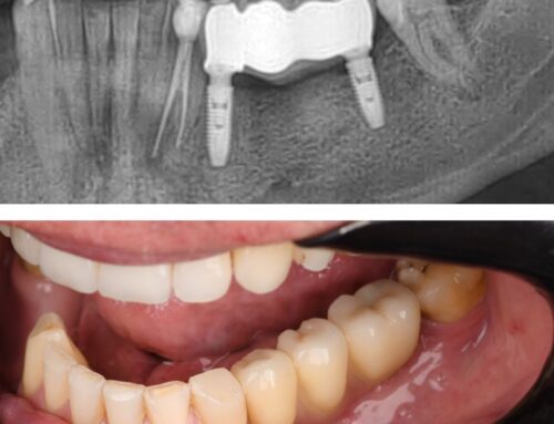
Razlika počinje brigom za točnu sliku stanja. RTG dijagnostika visoke rezolucije, CBCT snimke i intraoralni skeneri omogućuju stomatologu da vidi ono što klasičan pregled propušta. Digitalni otisci zamjenjuju neugodne kalupe, skraćuju vrijeme i povećavaju preciznost. Na temelju tih podataka izrađuje se individualni plan terapije: od endodoncije do implantologije i dentalne protetike. Kada je plan jasan, pacijent razumije svaki korak postupka i lakše se odlučuje za liječenje.
Multidisciplinarni tim na jednoj adresi
Suvremena ordinacija okuplja više specijalnosti kako bi se svaka potreba riješila bez nepotrebnog upućivanja drugdje. U dobro organiziranom centru pacijent na istom mjestu može dobiti:
- oralnu kirurgiju i implantologiju
- parodontologiju i liječenje desni
- endodonciju i restaurativnu stomatologiju
- estetsku i funkcijsku protetiku
Takav pristup štedi vrijeme i omogućuje da stomatolog i specijalisti zajednički oblikuju cjelovitu terapiju. U Poliklinici Minerva u centru Zagreba tim predvođen dr. sc. Marijanom Bićanić, specijalisticom dentalne protetike, upravo tim putem spaja iskustvo s koordiniranim postupcima, pa pacijent dobiva rješenje bez lutanja između više ordinacija.
Materijali nove generacije i minimalno invazivni postupci
Napredak u materijalima čini veliku razliku u estetici i trajnosti. Keramičke krunice i ljuskice visokog raspršenja svjetlosti, kompoziti poboljšane izdržljivosti i biokompatibilni implantati omogućuju prirodan izgled i stabilan zagriz. Kada se tome doda CAD/CAM tehnologija i precizna izrada u istom danu, pacijent brže dolazi do funkcionalnog osmijeha. Prioritet je minimalno invazivan postupak: čuva se zdravo zubno tkivo, smanjuje se trauma, a oporavak je brži i ugodniji.
Iskustvo pacijenta i human pristup
Tehnologija je sredstvo, ali odnos gradi povjerenje. Suvremena stomatologija počinje slušanjem potreba pacijenta i jasnim objašnjenjima. Stil komunikacije treba biti razumljiv i bez žargona, uz realna očekivanja i opcije terapije. Ugodan, moderan ambijent smanjuje stres, a pažljivo planiran raspored posjeta skraćuje čekanje. Kada ordinacija nudi diskretne načine ublažavanja nelagode, uključujući anesteziju i kontrolu boli, pacijent se vraća bez straha i lakše održava zdravlje zuba.

Sigurnost, sterilnost i protokoli bez kompromisa
Standardi higijene i sterilizacije nisu mjesto za kompromis. Sterilni instrumenti, kontrolirane zone čistoće i praćenje protokola štite zdravlje pacijenta i osoblja. Jednako je važno praćenje medicinske dokumentacije, kontraindikacija i lijekova. Kada se u kompleksnijim terapijama uključuje oralni kirurg i protetičar, jasno definirani koraci i kontrolne točke smanjuju rizik te osiguravaju uspjeh postupka.
Transparentna komunikacija i mjerljivi ishodi
Kvalitetna ordinacija mjeri rezultate. Fotografije prije i poslije, digitalni modeli i RTG kontrola pokazuju promjenu, a pacijent dobiva opipljive dokaze napretka. Transparentnost uključuje i troškovnik — precizno razrađene faze terapije, cijene i trajanje. Kada su očekivanja jasna, povećava se zadovoljstvo, a terapija teče bez iznenađenja.
Održavanje i dugoročna briga
Završetkom zahvata posao nije gotov. Program održavanja uključuje profesionalno čišćenje, kontrolne preglede i individualne upute za kućnu njegu. Pravi stomatolog prilagođava preporuke navikama i rizicima pacijenta: izbor četkice, korištenje zubnog konca ili zubnog tuša, fluoridne preparate i zaštitne udlage gdje je potrebno. Uz takav pristup, zahvati traju dulje, parodont je stabilniji, a osmijeh ostaje postojan.
Tehnologija u službi efikasnosti
Digitalno naručivanje, podsjetnici, e-dokumentacija i usklađena RTG dijagnostika skraćuju vrijeme i smanjuju pogreške. Kada laboratorij i ordinacija rade u usklađenom digitalnom tijeku, protetika sjedne s manje korekcija, a pacijent ima manje dolazaka. U okruženju poput Poliklinike Minerva gdje su oprema i stručnost pod istim krovom, takva efikasnost postaje standard koji pacijenti prepoznaju kao konkretnu pomoć.
Zašto taj pristup mijenja ishod liječenja
Suvremena stomatološka ordinacija nije samo mjesto zahvata, nego centar planiranja i brige. Kombinacija detaljne dijagnostike, specijalističkog tima, materijala nove generacije i empatičnog pristupa vodi do terapije koja je predvidiva, manje invazivna i dugoročno održiva. Kada pacijent razumije postupak, dobije jasan plan i vidi napredak, motiviran je čuvati rezultat. Upravo ta sinergija znanja, tehnologije i pažnje prema osobi čini razliku koju se osjeti pri svakom osmijehu.