Specijalist dentalne protetike bavi se nadoknadom izgubljenih zubi i obnovom njihove funkcije i estetike kada prirodni zub više ne može pouzdano obavljati svoju ulogu. Njegov rad nije “samo” izrada krunice ili mosta, nego precizno planiranje kako će se zagriz, govor i izgled osmijeha dugoročno stabilizirati. U praksi to znači da procjenjuje stanje zubi i zubnog mesa, analizira zagriz te predlaže protetsko rješenje koje odgovara vašem zdravlju, navikama i očekivanom rezultatu.
U modernoj stomatologiji protetika je često središnja točka oko koje se koordiniraju i druge grane, poput endodoncije, parodontologije, oralne kirurgije i implantologije. Kada se terapija provodi na jednoj adresi, pacijentu je lakše pratiti plan, a tim može preciznije uskladiti svaki korak, osobito u okviru Poliklinike Minerva.
Što točno radi specijalist dentalne protetike
Specijalist dentalne protetike planira i izrađuje protetske radove koji nadoknađuju dio zuba ili cijeli zub, kao i više zubi odjednom. Njegov posao uključuje:
- procjenu stanja: pregled zubi, analiza zagriza i funkcije čeljusti te provjera stanja potpornog aparata
- odabir terapije: preporuka nadoknade koja najbolje čuva preostalo tkivo i daje stabilan, predvidiv rezultat
- izradu i ugradnju nadomjestaka: krunica, most, proteza ili rješenja na implantatima
- dugoročno praćenje: kontrola prilagodbe, stabilnosti zagriza i higijenskih uvjeta, kako bi protetski rad trajao što dulje
Naglasak je na detaljima: rubovi krunice moraju savršeno sjedati uz zub, zagriz mora biti uravnotežen, a oblik i boja trebaju djelovati prirodno. Dobro planirana dentalna protetika smanjuje rizik od pucanja nadomjestaka, preopterećenja drugih zubi i problema sa zglobom čeljusti.
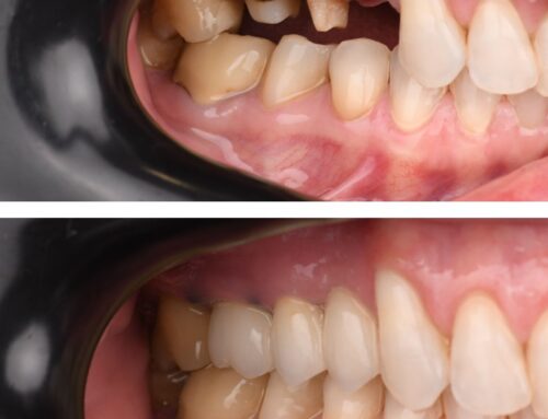
Najčešća protetska rješenja: krunica, most i rad na implantatima
Krunica se preporučuje kada je zub oslabljen karijesom, velikim ispunom ili nakon endodontskog liječenja, a cilj je vratiti čvrstoću i funkciju. Kod estetskih indikacija krunica može ispraviti oblik, boju i položaj zuba kada izbjeljivanje zubi ili manje korekcije nisu dovoljne.
Most je rješenje za nadoknadu jednog ili više zubi kada postoje stabilni zubi nosači. Uloga specijalista je procijeniti mogu li ti zubi dugoročno nositi opterećenje te kakav će učinak most imati na zagriz i zdravlje okolnih tkiva.
Rješenja na implantatu dolaze u obzir kada nedostaje zub, a ne želi se brusiti susjedne zube. U takvim slučajevima protetičar usko surađuje sa specijalistom oralne kirurgije/implantologije: planira se položaj implantata prema budućem protetskom radu, a ne obrnuto. To često čini razliku između rada koji izgleda “dobro na fotografiji” i onoga koji je udoban u svakodnevnom životu.
Kada trebate posjet specijalistu dentalne protetike
Posjet specijalistu ima smisla čim primijetite da vaš zub ili zubi više ne funkcioniraju kao prije ili kada želite stabilno rješenje koje traje. Najčešće situacije uključuju:
Nedostatak jednog ili više zubi
Prazan prostor nije samo estetski problem. S vremenom se susjedni zubi pomiču, zagriz se mijenja, a opterećenje prelazi na preostale zube. Protetika tada nije “luksuz”, nego terapija koja štiti zdravlje cijelog sustava.
Pucanje, trošenje ili osjetljivost zuba
Ako se zubi ubrzano troše, pucaju ili postaju osjetljivi, uzrok može biti neusklađen zagriz, noćno škripanje ili stari, neadekvatni ispuni. Specijalist procjenjuje treba li zub zaštititi krunicom ili je nužna šira rehabilitacija zagriza.
Nezadovoljstvo postojećim protetskim radom
Kada krunica “upada u oko”, most stvara nelagodu ili se hrana stalno zadržava uz rubove, to su znakovi da prilagodba nije optimalna. Kvalitetno izrađen protetski rad treba biti funkcionalan, estetski prirodan i lako održiv.
Estetske promjene osmijeha koje prelaze mogućnosti izbjeljivanja
Izbjeljivanje zubi može osvježiti osmijeh, ali ne rješava istrošene rubove, nepravilne oblike ili velike diskoloracije nakon trauma i liječenja. U takvim slučajevima protetika nudi predvidljivije rješenje, uz pažljivo planiranje da rezultat ne djeluje umjetno.
Kako izgleda pregled i plan terapije
Pregled kod specijalista obično uključuje kliničku procjenu, razgovor o očekivanjima i analizu zagriza. Često se radi RTG dijagnostika kako bi se provjerilo stanje korijena, kosti i postojeće terapije. Nakon toga slijedi planiranje: bira se tip nadomjestka, materijal i redoslijed zahvata, osobito ako su u terapiji uključeni implantati, parodontološka stabilizacija ili endodoncija.
Važno je razumjeti da “vrijeme” do konačnog rada ovisi o stanju zuba i tkiva. Nekad se krunica može izraditi relativno brzo, dok kod implantata treba planirati faze cijeljenja. Kvalitetan protetski rezultat je kombinacija precizne dijagnostike, dobre pripreme i pravilne kontrole.
Zašto je specijalizacija važna kod kompleksnijih slučajeva
Kod jednostavnijih situacija i stomatolog može predložiti protetsko rješenje, no specijalist dentalne protetike posebno je usmjeren na funkciju zagriza, dugotrajnost i estetiku u zahtjevnijim slučajevima. To se najviše vidi kod:
- većeg broja nadomjestaka u jednoj čeljusti
- rehabilitacije nakon gubitka zubi i spuštenog zagriza
- kombinacije parodontoloških problema i protetike
- planiranja rada na implantatima gdje položaj određuje buduću krunicu, a ne samo kirurške mogućnosti
U klinikama koje na jednoj lokaciji objedinjuju specijaliste i dijagnostiku, terapija je logičnije povezana: od prvog pregleda, preko pripreme, do završne kontrole, s jasnim ciljem da se postigne stabilan, prirodan osmijeh i funkcionalni zubi koji se mogu bez teškoća održavati.