Fiksni zubi na implantatima jedno su od najsigurnijih i najfunkcionalnijih rješenja za nadoknadu jednog, više ili svi zubi u čeljusti. Za pacijenta koji želi stabilnost, prirodan osjećaj pri žvakanju i osmijeh bez pomicanja proteze, zubni implantat često predstavlja najbolji izbor. Posebno je važna njegova prednost u odnosu na klasični most: susjedni zubi se ne moraju brusiti, što je presudno kada su ti zubi zdravi i intaktni.
Kada je implantat bolje rješenje od mosta
Kod gubitka jednog zuba, čest je odabir klasični most. Ipak, takav rad podrazumijeva brušenje zuba s obje strane bezubog prostora kako bi mogli nositi protetsku konstrukciju. Ako su susjedni zubi zdravi, to znači da se zbog nadoknade jednog zuba trajno uklanja dio zdravog zubnog tkiva.
Zubni implantat to izbjegava. U kost se ugrađuje titanski implantat koji preuzima ulogu korijena, a na njega dolazi krunica. Time se nadoknađuje izgubljeni zub bez opterećivanja okolnih zuba. Upravo zato je implantat u velikom broju slučajeva dugoročno povoljnije i biološki prihvatljivije rješenje od mosta.
Dodatna prednost je očuvanje kosti. Nakon gubitka zuba, kost u tom području s vremenom se povlači jer više nema funkcionalno opterećenje. Ugradnja implantata pomaže očuvati volumen kosti i održati prirodniji izgled čeljusti i lica.
Kome su fiksni zubi na implantatima najbolji izbor
Ova metoda posebno odgovara pacijentu koji želi da nadomjestak bude fiksan, stabilan i sličan prirodnim zubima. Kandidat za ugradnju implantata najčešće je osoba kojoj nedostaje jedan zub, nekoliko zuba ili svi zubi u čeljusti, a želi pouzdanije rješenje od mobilne proteze.
Fiksni radovi na implantatima dobar su izbor za osobe koje:
- ne žele brusiti zdrave susjedne zube
- imaju problema s nestabilnom protezom
- žele jaču funkciju žvakanja i sigurniji govor
- traže dugotrajno i estetski uvjerljivo rješenje
- žele da osmijeh izgleda prirodno i skladno
Važno je procijeniti kvalitetu i količinu kosti, stanje zubnog mesa, opće zdravstveno stanje i oralnu higijenu. Zato svaki zahvat započinje detaljnom dijagnostikom i individualnim planiranjem terapije u Poliklinici Minerva.
Koji se radovi mogu izraditi na implantatima
Implantologija danas omogućuje više vrsta protetskih radova, ovisno o tome koliko zuba nedostaje i kakvo je stanje čeljusti.
Krunica na implantatu
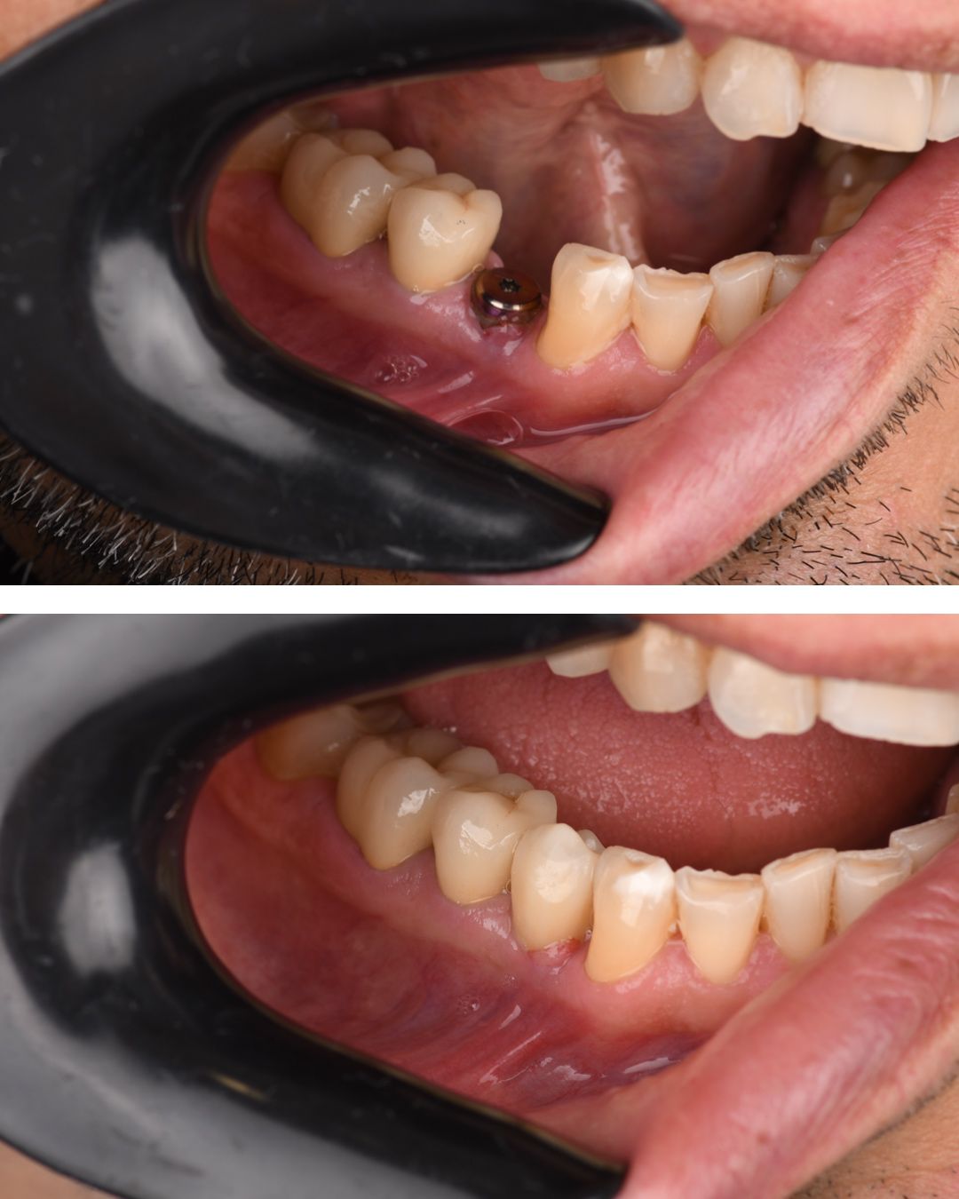
Ako nedostaje jedan zub, najčešće se izrađuje krunica na implantatu. To je vrlo elegantno rješenje jer nadomješta samo izgubljeni zub, bez zahvata na susjednim zubima. Funkcionalno i estetski može vrlo vjerno oponašati prirodan zub.
Most na implantatima
Kada nedostaje više zuba u nizu, može se izraditi fiksni most oslonjen na dva ili više implantata. Takav most je stabilan, ne miče se pri govoru ni žvakanju i često je znatno ugodniji od klasične proteze.
Kompletna rekonstrukcija cijele čeljusti
Kod bezubosti ili vrlo lošeg stanja preostalih zuba moguće je izvesti kompletnu rekonstrukciju cijele čeljusti. U tu svrhu koriste se koncepti poput All-on-4 i All-on-6, pri čemu se cijeli fiksni rad postavlja na četiri odnosno šest implantata.

Takvo rješenje omogućuje pacijentu da umjesto mobilne proteze dobije fiksne zube, s boljom stabilnošću, boljim osjećajem pri jelu i većim samopouzdanjem u svakodnevnim situacijama. Sa implantološkom terapijom postiže se i osjećaj funkcionalnog jedinstva, što je teže moguće ostvariti s mobilnim napravama.
Prednosti fiksnih zuba na implantatima
Najveća prednost nije samo estetika, nego kombinacija funkcije, udobnosti i očuvanja oralnog zdravlja. Dobro planirana ugradnja implantata omogućuje da protetski rad bude čvrst i dugotrajan, uz osjećaj koji je mnogo bliži prirodnim zubima nego klasična proteza.
Najvažnije prednosti su:
- nema brušenja susjednih zuba
- bolja stabilnost od mobilne proteze
- prirodniji prijenos žvačnih sila na kost
- očuvanje volumena kosti nakon gubitka zuba
- visoka estetika i prirodan osmijeh
- veća sigurnost pri govoru i prehrani
- dugoročno pouzdano rješenje
Za mnoge pacijente upravo je ta svakodnevna sigurnost presudna. Fiksni zubi ne pomiču se, ne stvaraju neugodu pri smijanju i ne zahtijevaju skidanje.
Zašto je važna vijčana veza protetskog rada
Kod radova na implantatima važan nije samo implantat, nego i način na koji je protetski nadomjestak povezan s njim. U Poliklinici Minerva preferiraju se protetski radovi vezani vijkom, odnosno vijčana veza.
Takav pristup ima važnu kliničku prednost jer omogućuje bolju kontrolu spoja i jednostavnije održavanje rada. Ujedno se smanjuje mogućnost zaostajanja viška cementa, što može biti jedan od čimbenika povezanih s komplikacijama poput mukozitisa i periimplantitisa. Zato je vijčano učvršćen rad često sigurnije i predvidljivije rješenje, osobito kod zahtjevnijih implantoprotetskih rehabilitacija.
Ugradnja implantata i što pacijent može očekivati
Sam zahvat ugradnje implantata planira se nakon pregleda, analize RTG dijagnostike i procjene stanja kosti. Postupak se izvodi precizno, uz jasno definirane faze terapije. Vrijeme potrebno za završni rad ovisi o broju implantata, kvaliteti kosti, potrebi za dodatnim zahvatima i vrsti protetskog rješenja.
Kod nekih pacijenata moguća je brža terapija, dok je u drugim slučajevima potrebno pričekati cijeljenje i stabilnu oseointegraciju implantata s kosti. Upravo zato je individualan pristup stomatologa i kirurga ključan za dugoročan uspjeh.
Sustav implantata i sigurnost dugoročnog rješenja
Kvaliteta implantološkog sustava izravno utječe na predvidljivost terapije. Poliklinika Minerva koristi Nobel Biocare implantološki sustav, poznat po visokoj preciznosti, pouzdanosti i klinički provjerenim rješenjima za različite situacije, od jedne krunice do potpune rekonstrukcije čeljusti.
Dodatnu vrijednost daje doživotna garancija na implantate, uz redovite kontrolne preglede i pridržavanje uputa o održavanju oralne higijene. To pacijentu donosi veću sigurnost i potvrđuje koliko su pravilno planiranje, kvalitetan materijal i stručna izvedba važni za dugotrajan uspjeh terapije.