Dentalna protetika bavi se nadoknadom izgubljenih ili teško oštećenih zubi te obnovom funkcije i izgleda osmijeha. Kada nedostaje jedan zub, više njih ili je prirodni zub oslabljen do mjere da više ne može kvalitetno služiti svojoj svrsi, protetski nadomjestak postaje važno rješenje. Cilj nije samo ljepši izgled, nego i pravilno žvakanje, govor, stabilnost zagriza i očuvanje preostalih zubi.
Mnogim je pacijentima najveći problem to što se u kratkom vremenu susretnu s nizom izraza koje dotad nisu koristili: krunica, most, proteza, implantat, otisak, cementiranje, privremeni rad ili konačna izrada. Kada se ti pojmovi objasne jednostavno, lakše je razumjeti preporuku koju daje stomatolog i donijeti odluku koja odgovara konkretnom slučaju, osobito u području dentalne protetike.
Što je zapravo protetski nadomjestak
Protetski nadomjestak je svaki rad kojim se nadoknađuje izgubljeni dio zuba ili jedan ili više zubi koji nedostaju. On može biti fiksan, što znači da je trajno pričvršćen u ustima, ili mobilan, što znači da se može vaditi.
Fiksna rješenja najčešće uključuju krunicu i zubni most, dok su mobilna rješenja različite vrste proteza. Odabir ovisi o tome koliko zubi nedostaje, u kakvom su stanju okolni zubi, postoji li mogućnost za zubni implantat, kakve su funkcijske potrebe pacijenta i koji se materijal koristi za izradu.
Kada se radi krunica, a kada most
Krunica se postavlja kada je prirodni zub prisutan, ali je znatno oslabljen zbog karijesa, puknuća, trošenja ili nakon liječenja korijenskih kanala. Njezina je uloga zaštititi preostalu strukturu zuba i vratiti mu oblik, čvrstoću i estetiku. Jednostavno rečeno, krunica prekriva postojeći zub poput precizno oblikovane kapice.
Most se koristi kada jedan ili više zubi nedostaju. Klasičan zubni most oslanja se na susjedne zube, koji služe kao nosači. Između njih se nalazi član koji nadomješta izgubljeni zub. Takav rad može biti vrlo funkcionalan i estetski uspješan, ali zahtijeva da zubi nosači budu dovoljno stabilni i prikladni za opterećenje.
Razlika je, dakle, jednostavna: krunica obnavlja postojeći zub, a most nadoknađuje zub koji nedostaje.
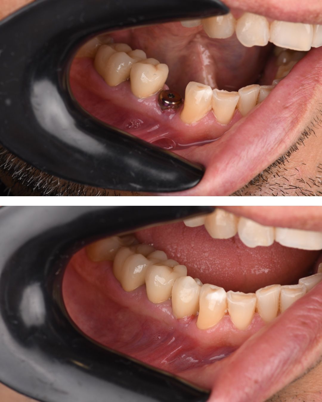
Gdje se uklapa implantat
Implantat je titanski ili drugi biokompatibilni nosač koji se ugrađuje u kost čeljusti i služi kao zamjena za korijen zuba. Na njega se kasnije može postaviti krunica, most ili drugi protetski nadomjestak. Kada se govori o pojmu zubni implantat, misli se upravo na tu umjetnu zamjenu korijena koja nosi budući protetski rad.
Prednost implantološkog rješenja jest to što se često može nadoknaditi izgubljeni zub bez brušenja susjednih zdravih zubi. Osim toga, implantat pomaže raspodjeli sila žvakanja i može pridonijeti očuvanju kosti. Ipak, nije svaki slučaj isti. Količina i kvaliteta kosti, stanje zubnog mesa, opće zdravlje pacijenta i plan terapije određuju je li to optimalan izbor.
Proteza nije jedno rješenje za sve
Riječ proteza često se koristi vrlo široko, iako postoji više vrsta. Djelomična proteza nadoknađuje nekoliko zubi, dok totalna proteza služi kada u čeljusti više nema prirodnih zubi. Postoje i suvremena rješenja kod kojih se proteza dodatno stabilizira pomoću implantata.
Kod nekih pacijenata mobilna zubna proteza najbolji je funkcionalni i financijski prihvatljiv izbor. U drugim situacijama preporučit će se fiksni rad. Važno je razumjeti da proteza nije nužno zastarjelo rješenje, nego terapija koja, kada je pravilno planirana i precizno izrađena, može značajno poboljšati svakodnevni život.

Pojmovi poput “zuban proteza” ili “zubni proteza” često se pojavljuju u pretragama, ali u standardnom hrvatskom jeziku pravilno je govoriti o zubnoj protezi ili jednostavno o protezi.
Zašto su materijal i izrada toliko važni
Kvalitetan protetski rad ne ovisi samo o tome što se izrađuje, nego i kako se izrađuje. Materijal utječe na trajnost, estetiku, osjećaj u ustima i otpornost na svakodnevno opterećenje. U dentalnoj protetici često se koriste keramika, cirkon-keramika, metal-keramika i drugi suvremeni sustavi, a izbor ovisi o položaju zuba, funkciji i estetskim očekivanjima.
Izrada protetskog nadomjestka uključuje više koraka: pregled, dijagnostiku, plan terapije, pripremu zuba ili implantata, uzimanje otisaka ili digitalno skeniranje, probu i završno postavljanje rada. Upravo preciznost u svakom koraku određuje kako će se nadomjestak uklopiti, koliko će biti udoban i koliko će prirodno izgledati.
Danas važnu ulogu ima i tehnologija. Digitalno planiranje, suvremena dijagnostika i napredni laboratorijski postupci omogućuju veću točnost i predvidljivost rezultata, što je posebno važno kada pacijent želi dugotrajan i estetski usklađen osmijeh.
Uloga protetičara i stomatologa u planiranju terapije
U svakodnevnom govoru često se spominje protetičar, odnosno doktor dentalne medicine usmjeren na protetska rješenja. Njegov zadatak nije samo predložiti krunicu, most ili protezu, nego sagledati cijeli zagriz, funkciju čeljusti, stanje zubnog mesa i dugoročnu stabilnost terapije.
Iskusan stomatolog neće promatrati samo jedan zub kao izoliran problem. Ponekad se iza naizgled jednostavnog oštećenja krije širi funkcionalni ili estetski izazov. Zato se plan izrađuje individualno, prema potrebama pacijenta, navikama, očekivanjima i stvarnim mogućnostima usne šupljine.
Što pacijent treba pitati prije odluke
Prije nego što se započne bilo kakav protetski rad, korisno je razjasniti nekoliko pitanja: koje su sve opcije moguće, koliko traje izrada, koji je predloženi materijal, kako će rad izgledati i kako se održava. Dobro je pitati i što se događa ako se terapija odgodi, osobito kada nedostaje zub, jer se s vremenom mogu pomaknuti susjedni zubi ili promijeniti odnosi u zagrizu.
Za pacijenta je često najvažnije razumjeti zašto je određeni nadomjestak preporučen baš u njegovu slučaju. Kada postoji jasno objašnjenje, lakše je prihvatiti terapiju i imati realna očekivanja od završnog rezultata.
Dentalna protetika nije samo estetski zahvat, nego precizna grana dentalne medicine koja vraća funkciju, sigurnost pri žvakanju i sklad osmijeha. Kada su osnovni pojmovi jasni, lakše je prepoznati razliku između rješenja i razumjeti zašto su stručnost, dobra dijagnostika i kvalitetna izrada ključni za uspješan rezultat.